Mụn li ti quanh mắt: Cùng tìm hiểu 3 chính nguyên nhân gây mụn

Mụn li ti quanh mắt: Cùng tìm hiểu 3 chính nguyên nhân gây mụn
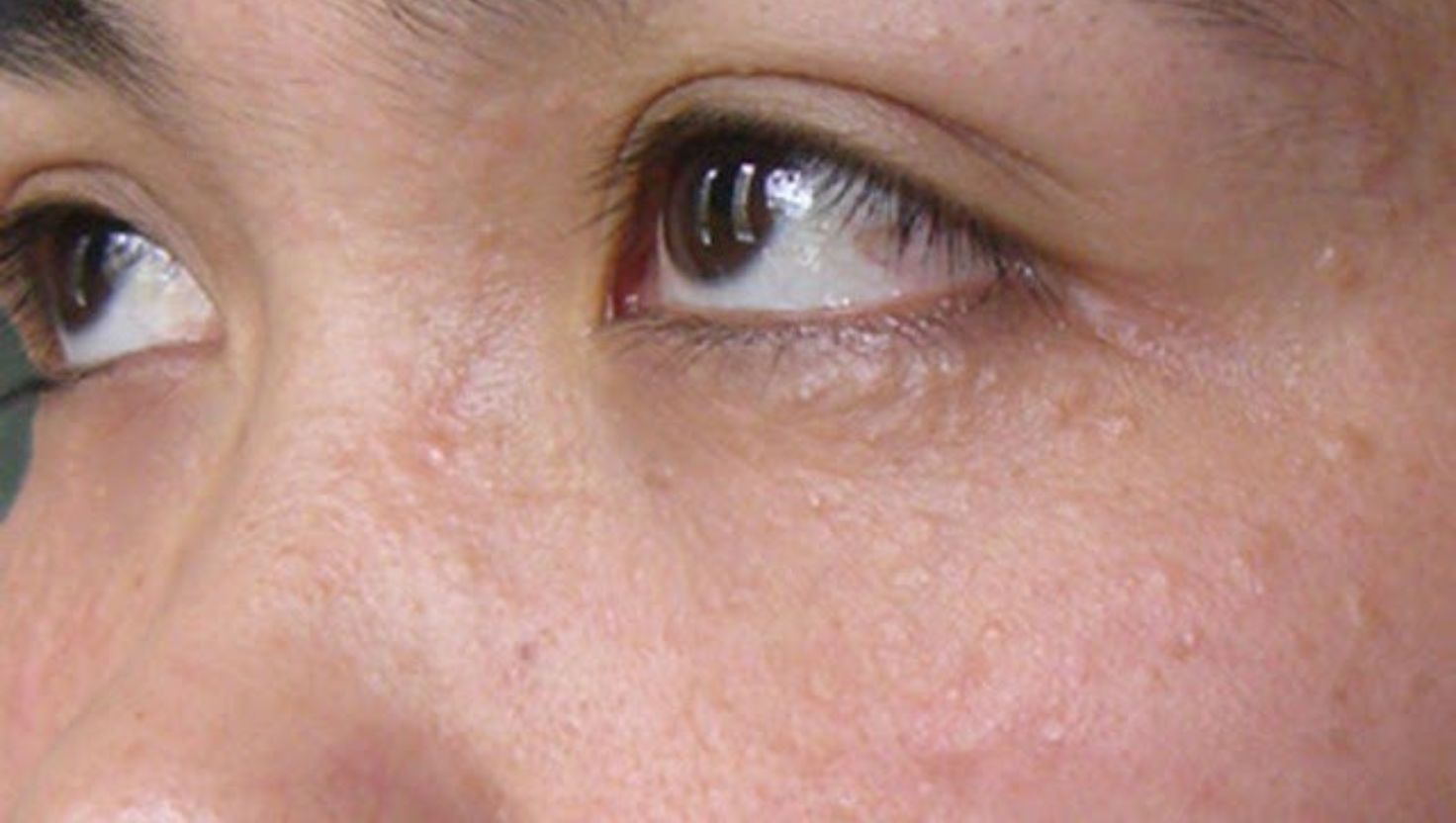
Mụn li ti quanh mắt là tình trạng da liễu gây lo lắng vì ảnh hưởng trực tiếp đến thẩm mỹ và sự tự tin. Vùng da quanh mắt mỏng manh, nhạy cảm nên mụn li ti dễ gây khó chịu, ngứa rát. Vấn đề này có thể do rối loạn bên trong cơ thể hoặc sai lầm chăm sóc da. Vậy, nguyên nhân gây ra mụn li ti quanh mắt là gì? Có cách nào điều trị an toàn và hiệu quả mà không làm tổn thương vùng da nhạy cảm này? Hãy tìm hiểu kỹ hơn để nhận diện và xử lý triệt để tình trạng này.
Nguyên nhân gây mụn li ti quanh mắt là gì?
Mụn li ti quanh mắt không phải là dạng mụn phổ biến như mụn trứng cá hay mụn đầu đen, nhưng lại có thể xuất hiện ở cả nam và nữ, đặc biệt là những người có làn da nhạy cảm. Hiểu đúng về nguyên nhân sẽ giúp bạn có phương pháp phòng ngừa và điều trị hiệu quả.
1. Tắc nghẽn lỗ chân lông do tuyến bã nhờn
- Tuyến bã nhờn hoạt động mạnh có thể làm tăng tiết dầu quanh vùng mắt.
- Khi dầu thừa kết hợp với tế bào chết và bụi bẩn, lỗ chân lông sẽ bị bít kín, hình thành các nốt mụn nhỏ li ti.
- Đặc biệt, vùng da quanh mắt vốn ít tuyến dầu, nên khi bị bít tắc sẽ dễ phát sinh tổn thương và khó tự phục hồi.
2. Sử dụng mỹ phẩm không phù hợp
- Các loại kem dưỡng mắt, kem chống lão hóa hoặc trang điểm chứa hương liệu, silicone hoặc dầu khoáng có thể gây kích ứng.
- Khi sử dụng mỹ phẩm không được kiểm nghiệm da liễu, làn da quanh mắt sẽ phản ứng bằng việc nổi mụn hoặc viêm nhẹ.
- Thói quen không tẩy trang kỹ sau khi trang điểm mắt cũng làm tăng nguy cơ bị mụn li ti.
3. Dị ứng với sản phẩm chăm sóc da
- Da vùng mắt rất nhạy cảm và dễ bị phản ứng với các thành phần hóa học mạnh.
- Các dấu hiệu thường gặp bao gồm nổi mụn li ti, sưng đỏ nhẹ hoặc ngứa quanh mắt.
- Ngay cả các sản phẩm chăm sóc da hữu cơ cũng có thể gây kích ứng nếu không phù hợp với cơ địa.

Cách nhận biết và phân biệt mụn li ti quanh mắt
Việc nhận biết đúng loại mụn là bước đầu quan trọng để xác định phương pháp điều trị phù hợp. Mụn li ti quanh mắt có thể bị nhầm lẫn với các tình trạng da khác nếu chỉ quan sát bằng mắt thường.
1. Đặc điểm nhận diện
- Mụn có kích thước rất nhỏ, thường nằm ẩn dưới da hoặc hơi nhô lên bề mặt.
- Không sưng viêm, không chứa mủ như mụn mủ hay mụn bọc.
- Có thể xuất hiện theo cụm hoặc rải rác xung quanh viền mắt, mí mắt hoặc gò má trên.
2. Phân biệt với u tuyến mồ hôi (milia)
- Milia là những nốt trắng nhỏ, có nhân keratin bên trong và thường cứng.
- Khác với mụn li ti thông thường, milia không tự biến mất và không gây viêm.
- Cần được lấy nhân đúng cách tại cơ sở da liễu nếu muốn loại bỏ hoàn toàn.
3. Phân biệt với viêm da tiếp xúc
- Nếu mụn đi kèm với ngứa, đỏ, cảm giác châm chích hoặc khô rát thì có thể là viêm da tiếp xúc.
- Đây là phản ứng dị ứng của da với một tác nhân từ môi trường hoặc sản phẩm chăm sóc da.
- Điều trị viêm da tiếp xúc khác hoàn toàn với điều trị mụn li ti, vì vậy cần xác định đúng nguyên nhân.
Các biện pháp điều trị mụn li ti quanh mắt hiệu quả
Tùy theo nguyên nhân và mức độ nghiêm trọng, bạn có thể áp dụng các biện pháp từ tự nhiên đến y khoa để xử lý mụn li ti quanh mắt mà không gây tổn thương đến vùng da nhạy cảm.
1. Thay đổi thói quen chăm sóc da
- Sử dụng sữa rửa mặt dịu nhẹ, không chứa sulfate và có độ pH cân bằng.
- Hạn chế dùng tay chạm lên vùng mắt và tránh dụi mắt thường xuyên.
- Tẩy trang kỹ vùng mắt mỗi tối, ưu tiên dùng sản phẩm chuyên biệt cho mắt.
2. Sử dụng sản phẩm đặc trị
- Các sản phẩm chứa niacinamide hoặc BHA nồng độ thấp giúp làm sạch lỗ chân lông và hỗ trợ kháng viêm.
- Không nên tự ý dùng retinol hoặc acid mạnh ở vùng mắt nếu không có chỉ định từ bác sĩ da liễu.
- Ưu tiên sản phẩm được kiểm nghiệm không gây kích ứng mắt và da quanh mắt.
3. Điều trị chuyên sâu tại spa hoặc phòng khám
- Liệu trình lấy nhân mụn chuẩn y khoa dành cho milia hoặc mụn nang ẩn dưới da.
- Phương pháp điện di, ánh sáng sinh học hoặc laser lạnh có thể giúp giảm viêm và cải thiện kết cấu da.
- Cần lựa chọn cơ sở có uy tín, đảm bảo vô trùng và chuyên viên có chuyên môn về da liễu.

Các dịch vụ chăm sóc spa tại Dr-Spiller Skinlab cho mụn li ti quanh mắt
1. Liệu trình làm sạch nhẹ nhàng với sữa rửa mặt sinh học
Sử dụng sản phẩm dịu nhẹ, pH cân bằng từ Dr-Spiller giúp làm sạch sâu vùng mắt mà không gây khô da.
2. Tẩy tế bào chết Enzyme quanh mắt
Loại bỏ tế bào sừng hóa nhẹ nhàng bằng enzyme sinh học, hỗ trợ làm thông thoáng nang lông – bước quan trọng trong việc giảm mụn ẩn quanh mắt.
3. Đắp mặt nạ vùng mắt chuyên biệt
Dr-Spiller Skinlab sử dụng các loại mặt nạ dạng sinh học có chứa:
-
Ectoin: hỗ trợ chống kích ứng, phục hồi làn da.
-
Collagen thủy phân: giúp làm mềm và sáng vùng da quanh mắt.
-
Chiết xuất hoa cúc & nha đam: kháng viêm, làm dịu vùng da nhạy cảm.
4. Massage mắt kết hợp serum dưỡng dịu nhẹ
Kỹ thuật massage nhẹ nhàng quanh mắt giúp:
-
Kích thích lưu thông máu.
-
Giảm bọng, thư giãn vùng mắt.
- Tăng cường hấp thụ tinh chất trị liệu.
Các serum sử dụng có chứa peptide, HA phân tử thấp, chiết xuất rễ cam thảo, rất phù hợp cho da mụn li ti và dễ kích ứng.
Ưu điểm khi chăm sóc tại Dr-Spiller Skinlab
-
Liệu trình an toàn, không xâm lấn.
-
Sản phẩm sử dụng đạt chuẩn y khoa từ Dr-Spiller (Đức).
-
Chuyên viên được đào tạo chuyên biệt về xử lý da nhạy cảm quanh mắt.
-
Có hướng dẫn chăm sóc tại nhà phù hợp, tránh tái phát mụn.

Kết luận
Mụn li ti quanh mắt tuy không nguy hiểm nhưng gây mất thẩm mỹ và khó điều trị nếu tự xử lý. Các liệu trình chăm sóc chuyên sâu tại Dr-Spiller Skinlab chính là giải pháp an toàn, hiệu quả, giúp bạn lấy lại làn da vùng mắt mịn màng, tươi sáng. Đặt lịch chăm sóc ngay hôm nay để cảm nhận sự khác biệt từ những chạm nhẹ chuyên nghiệp tại Dr-Spiller Skinlab!
Để có cơ hội trải nghiệm các liệu trình điều trị mụn chuyên sâu tại Viện chăm sóc da Dr Spiller Skinlab, hãy nhanh tay liên hệ ngay theo địa chỉ:
- Website: Skinlab.vn
- Hotline: 0904 644 488
- Fanpage: https://www.facebook.com/thammyviendrspiller
- Shopee: https://shopee.vn/drspiller_skinlab
THAM KHẢO THÊM
- Top 4 loại mặt nạ đất sét trị mụn ẩn cho da dầu tốt nhất
- Top 3 serum trị mụn ẩn tốt nhất được chuyên gia khuyên dùng
- Mụn ẩn có nên nặn không? Nặn có sao không? Khi nào nên nặn
- Công thức mặt nạ trị mụn ẩn tại nhà tốt nhất chia sẻ từ chuyên gia
- Nguyên nhân da nổi mụn li ti và những cách điều trị dứt điểm



